version: 260325-6103c50e
AJUDE O GATO CHAMPS A SE RECUPERAR!
Jonathan Lastori
Campinas - SP
CrowdfundingAnimaisONGs
R$ 0,00 da meta de R$ 3.000,00
0%

AJUDE O GATO CHAMPS A SE RECUPERAR!

A plataforma mais premiada do Brasil

AJUDE O GATO CHAMPS A SE RECUPERAR!🐱❤️

Champs é um gato adulto macho de aproximadamente 7 anos que foi atropelado e abandonado sem receber socorros do agressor na cidade de campinas. Infelizmente não tinha câmera na rua para identificar o dono do veículo que cometeu esse crime. Ele foi resgatado no meio da rua por mim, Jonathan, no dia 15/07, e o levei imediatamente para o veterinário mais próximo. Entretanto, estou desempregado desde Janeiro deste ano por conta da pandemia.
Todos os gastos veterinários foram absorvidos e parcelados, mas está chegando a hora de pagar e não consigo fazer isso sozinho. 

Champs está sob os meus cuidados, mas infelizmente não consigo pagar pelo tratamento de recuperação dele e os gastos veterinários parcelados (incluso:4 diárias de internação, uma consulta, um exame de ultrassom e dois de raio x, remédios para dor e anti-inflamatórios) –Todas as notas estarão em anexo.

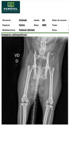
Ele precisa fazer inclusive sessões de fisioterapia URGENTEMENTE para poder recuperar o movimento das patas traseiras. Já que sofreu três fraturas pélvicas. Tenho todos os laudos médicos do Champs, inclusive o raio x que mostra suas fraturas que ele sofreu devido ao acidente. Ele precisa de medicamentos para aliviar a dor, fraldas higiênicas, rações úmidas (devido à falta de apetite por conta das dores) e de sessões de fisioterapia.

Infelizmente a ONG de Campinas que entrei em contato não quis ajudar a nem a divulgar o caso do Champs nos deixando totalmente desamparados😭!

O Champs precisa MUITO da ajuda de vocês para que ele possa continuar o tratamento e voltar a andar sem dores. Por favor peço que ajudem a doar, divulgar o caso para que assim mais pessoas possam contribuir com o tratamento do gatinho.

❤️TODA AJUDA É BEM-VINDA, CHAMPS AGRADECE COM MUITO AMOR!🐱❤️

Contato :

aristudy20@gmail.com

Tel.:19996696095

É muito fácil participar.

Finalize em segundos!

Mais de 2 milhões de brasileiros

Pagamento seguro

Parcele em até 12X

Todo valor arrecadado será diretamente destinado ao tratamento do Champs (Veterinário, Fisioterapia, remédios e cuidados essenciais)🐱❤️

0

Fale com a Kickante

A mais completa plataforma de
Crowdfunding do Brasil

R$ 0,00
da meta de R$ 3.000,000%

Encerrado!

Jonathan Lastori

Campinas - SP

Crowdfunding

Animais

ONGs

Campanha encerrada em 06/10/2021

Campanha Flexível

+ 2 milhões

de brasileiros participando na Kickante

Meta: 1 bilhão para o Brasil.

Faça parte do movimento Kickante.

+ 100 mil projetos

São milhões de brasileiros impactados!

Painel Transparente

Veja o status real de toda contribuição.