version: 260303-44c70fb6
Ajude a Vitória
Ajude a Vitória
Ajude a Vitória
São Domingos do Norte - ES
Vaquinha OnlineAnimaisVaquinha
R$ 1.129,00 da meta de R$ 1.129,00
0%

Ajude a Vitória

A plataforma mais premiada do Brasil

Encontramos a Vitória atropelada na ES-080 sentido Vitória > Sao Domingos no dia 11/01/2022 e de imediato a levamos para ser atendida na Clínica mais próxima no município de São Gabriel da Palha onde a mesma passou por atendimento e necessitou de alguns exames para o diagnóstico pois apresentava sangramento e não conseguia se sustentar nas patas traseiras. Estamos fazendo essa vaquinha no intuito de ajudar com os custos dos exame, atendimento, internação e cirurgia. Por enquanto temos o orçamento das primeiras 24hrs, e estipulamos um valor medio baseado nas informações passadas pelo veterinário. Obs. Todo valor que sobrar será direcionado ao abrigo que a Vitória será entregue assim que estiver estável. Caso precisem de mais videos , fotos e informações a Clinica de chama Veterinária Gabriellis e o telefone de contaco deles é: (27) 3727-0402 / (27) 99789-1888 ou nos telefones (27)99638-0017 (Livia Bermond) e (27)99729-0906 (Alex Costa)

É muito fácil participar.

Finalize em segundos!

Mais de 2 milhões de brasileiros

Pagamento seguro

Parcele em até 12X

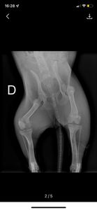
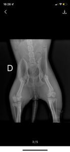
Segundo exames de Raio X, o atropelamento causou 2 fraturas na regiao de pelve e necessita de intervencao cirurgica com custo aproximado em R$3900 reais, que é um custo bastante elevado e precisamos do apoio e da colcaboracao de todos para não deixa-lá morrer, pois ela não consegue se colocar de pé devido a gravidade das fraturas.
Já providenciamos alguem que irá cuidar dela e estamos correndo para ajuda-la e coletando informações e fazendo cotações com outros especialistas no assunto.
0

Fale com a Kickante

A mais completa plataforma de
Crowdfunding do Brasil

R$ 1.129,00
da meta de R$ 1.129,000%

Encerrado!

Ajude a Vitória

São Domingos do Norte - ES

Vaquinha Online

Animais

Vaquinha

Campanha encerrada em 11/02/2022

Campanha Flexível

Destaque

Livia bermond

1º Kick

Anônimo

Maior Kick

R$ 120,00

Giulia Bermond

+ Recente

+ 2 milhões

de brasileiros participando na Kickante

Meta: 1 bilhão para o Brasil.

Faça parte do movimento Kickante.

+ 100 mil projetos

São milhões de brasileiros impactados!

Painel Transparente

Veja o status real de toda contribuição.