version: 260303-44c70fb6
#AJUDEM A BABI, QUE FOI ATROPELADA!!
#AJUDEM A BABI, QUE FOI ATROPELADA!!
AJUDEM A BABI!!
São Paulo - SP
Vaquinha OnlineAnimaisSaúde e Emergências
R$ 0,00 da meta de R$ 3.000,00
0%

#AJUDEM A BABI, QUE FOI ATROPELADA!!

A plataforma mais premiada do Brasil

Oi, gente!! 😥

Minha gatinha Babi, foi atropelada dia 13/07/22, passou por baixo da tela e tive que levar as pressas ela ao vet, pois ela não estava mexendo as patas traseiras, não saia o miado dela e estava roxeando a boquinha e urinando sangue! 😭😭😭
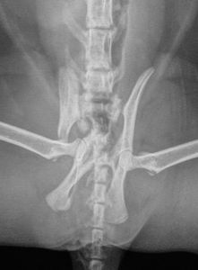
Não tinha noção, mas ao chegar no Vet, ela fez raio x do  quadril, ultrassom e foi quando vimos o quadril dela todo quebrado! 😔
A temperatura dela estava baixíssima, pressão baixa e toda geladinha, que pensei que era o fim dela! 
A Vet encaminhou ela para um hospital veterinário  particular que era muito caro.
Então viemos na Clinicat que foi mais em conta, mas mesmo assim gastamos uma boa quantia, sem termos dinheiro suficiente.🥺
Levei correndo, pois ela poderia ter uma parada cardíaca!
Lá colocaram ela com bolsa térmica, medicamento pra subir a pressão e melhorar a temperatura para que ela se estabilizasse pra poder operar! E deu todo esse valor 🥺🥺🥺🥺🥺🥺🥺
Ela colocou placa e pinos no quadril e ainda tava correndo risco de vir a óbito.
SÓ NÃO LEVEI AO HOSPITAL VETERINÁRIO GRATUITO, pq o estado dela estava muito grave! E quando liguei em alguns, obtive a mesma resposta: "Tem que vir as 5 da manhã pra pegar senha e aguardar sua vez".
Ela estava correndo risco de óbito.
Ela tava com a pressão baixa, urinando sangue, temperatura baixa, ficando com a boquinha roxa e não tava saindo o miado dela! 
Não dava pra esperar no dia seguinte, pq ela poderia sofrer uma parada cardíaca! 
Aí pensando como eu ia conseguir pagar todo esse valor, cirurgia, placas, pinos no quadril, internação, remédios e exames...

***ELA JÁ FOI OPERADA! PASSA BEM! MAS  NÃO MEXE AS PERINHAS AINDA! VAI PRECISAR DE FISIOTERAPIA!***

Foi aí que envergonhada, fiz a Vakinha online! 
Mas não meço esforços, pelos meus gatos (tenho 7), faço tudo que estiver ao meu alcance!!
😭😭😭🙏🏻🙏🏻🙏🏻
Quem puder ajudar com qualquer quantia, para me ajudar a pagar os custos, pois não tenho condições com todo esse valor, ou até mesmo compartilhar com seus amigos e familiares  eu agradeço imensamente e que Deus os abençoe!
😭😭😭🙏🏻🙏🏻🙏🏻

Meu Pix (celular): 11982695155

É muito fácil participar.

Finalize em segundos!

Mais de 2 milhões de brasileiros

Pagamento seguro

Parcele em até 12X

Participe agora com total segurança
porque na Kickante cada pessoa faz uma grande diferença!

0

Fale com a Kickante

A mais completa plataforma de
Crowdfunding do Brasil

R$ 0,00
da meta de R$ 3.000,000%

AJUDEM A BABI!!

São Paulo - SP

Vaquinha Online

Animais

Saúde e Emergências

Campanha lançada em 22/07/2022

Campanha Flexível

R$ 25,00
0 Kicks
R$ 50,00
0 Kicks
R$ 120,00
0 Kicks
R$ 300,00
0 Kicks

Minhas redes

+ 2 milhões

de brasileiros participando na Kickante

Meta: 1 bilhão para o Brasil.

Faça parte do movimento Kickante.

+ 100 mil projetos

São milhões de brasileiros impactados!

Painel Transparente

Veja o status real de toda contribuição.