version: 260325-6103c50e
CIRURGIA PARA PEQUENA KIARA
CIRURGIA PARA PEQUENA KIARA
CIRURGIA KIARA
São José dos Pinhais - PR
Vaquinha OnlineAnimaisSaúde e Emergências
R$ 443,00
Campanha sem meta financeira.

CIRURGIA PARA PEQUENA KIARA

A plataforma mais premiada do Brasil

Amigos, saudações

Estamos divulgando essa vaquinha na intenção de arrecadar o valor necessário para cirurgia da Kiara, nossa caçula.
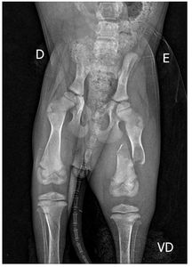
Kiara sofreu um acidente em 05/09 onde acabou fraturando o FÊMUR da perna esquerda e teve uma fissura na perna direita. 
fizemos as devidas consultas, e exames, estudamos alternativas mas infelizmente é caso de cirurgia e o pior, COM URGÊNCIA. Infelizmente, o valor do procedimento completo ficou em torno de R$ 2.000,00 , montante que não temos atualmente.  

o motivo da urgência neste caso é para que a fratura não cicatrize de forma errada, deixando sequelas ou perda da movimentação na perna, além das dores.

as imagens comprovam a necessidade e urgência do caso, contamos com sua colaboração independente do valor, tudo que conseguirmos será bem vindo e ajudará no tratamento dessa pequena que faz parte das nossas vidas.

É muito fácil participar.

Finalize em segundos!

Mais de 2 milhões de brasileiros

Pagamento seguro

Parcele em até 12X

Valor integral desta arrecadação será utilizado para o tratamento da nossa pequena Kiara.

Participe agora com total segurança
porque na Kickante cada pessoa faz uma grande diferença!

0

Fale com a Kickante

A mais completa plataforma de
Crowdfunding do Brasil

R$ 443,00
Campanha sem meta financeira. Todo valor ajuda!

CIRURGIA KIARA

São José dos Pinhais - PR

Vaquinha Online

Animais

Saúde e Emergências

Campanha lançada em 07/09/2022

Campanha Flexível

Destaque

Anônimo

1º Kick

R$ 30,00

Thatyane Conforto

Maior Kick

R$ 100,00

Leticia Lopes

+ Recente

R$ 40,00

R$ 25,00
0 Kicks
R$ 50,00
0 Kicks
R$ 120,00
0 Kicks
R$ 300,00
0 Kicks

+ 2 milhões

de brasileiros participando na Kickante

Meta: 1 bilhão para o Brasil.

Faça parte do movimento Kickante.

+ 100 mil projetos

São milhões de brasileiros impactados!

Painel Transparente

Veja o status real de toda contribuição.