version: 260325-6103c50e
Reconstituição LCA e LCM do Gui Lima
Reconstituição LCA e LCM do Gui Lima
Gui Lima
Florianópolis - SC
Vaquinha OnlineEsportesSaúde e Emergências
R$ 11.177,54 da meta de R$ 29.081,00
0%

Reconstituição LCA e LCM do Gui Lima

A plataforma mais premiada do Brasil

Olá, meu nome é Guilherme Lima e sou atleta profissional de Beach Tennis.

Estou cursando Bacharel em Educação Física e na aula prática de Handebol, num lance atacando da ponta esquerda pro meio, saltei para arremessar e ao aterrissar com a perna esquerda o marcador bateu do lado do meu joelho (com certeza sem querer) e ele “dobrou” no sentido que não era pra “dobrar” (sentido valgo), na hora eu senti um estalo interno, veio a dor e caí no chão.

Pra quem não sabe, pelo menos no meu nível, jogar Beach Tennis profissional exige sacrifício financeiro e da coisa mais valiosa que temos que é nosso tempo. Sou eu que pago TODOS os gastos da viagem, e ficar longe de casa, do trabalho, da faculdade e das pessoas eu gosto não é fácil. Faço isso por amor ao esporte e competição. É isso que me motivava a cada treino e que agora me motiva nas sessões de fisio preparatória para a cirurgia. 

Eu não tenho plano de saúde e nem condições financeiras de pagar a cirurgia do joelho. Estou pedindo por aqui para quem puder me ajudar nesse processo, essa é a unica alternativa que pensei onde eu possa fazer a cirurgia para voltas às quadras. 

O que eu mais quero agora é voltar a competir e serei imensamente grato a quem puder me ajudar. 

Eu já comecei o processo de realbilitação e preparação para a cirurgia com fisioterapia para que o retorno seja mais rapido e garantido. Depois de feita a cirurgia vou dar meu melhor em todos os sentidos para que a sua ajuda seja honrada e eu volte em bom estado para as competições

Todo valor de ajuda é bem-vindo. 

Caso você queira ajudar financeiramente por outro meio pode ser por pix:
CPF - 40553316818
Guilherme Ribeiro Lima
Nu Bank

*Adicionei 6% de taxa do site Kickante no total a ser arrecadado

É muito fácil participar.

Finalize em segundos!

Mais de 2 milhões de brasileiros

Pagamento seguro

Parcele em até 12X

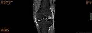
Com o valor arrecadado irei pagar todo o custo da cirurgia de reconstituição do LCA (Ligamento Cruzado Anterior) e LCM (Ligamento Colateral Medial), incluindo hospital, equipe médica e materiais. 
0

Fale com a Kickante

A mais completa plataforma de
Crowdfunding do Brasil

R$ 11.177,54
da meta de R$ 29.081,000%

Encerrado!

Gui Lima

Florianópolis - SC

Vaquinha Online

Esportes

Saúde e Emergências

Campanha encerrada em 23/11/2022

Campanha Flexível

Destaque

Rafaella Viana

1º Kick

R$ 5,00

Giovane Kuhn

Maior Kick

R$ 1.000,00

marina guimarães

+ Recente

R$ 10,00

+ 2 milhões

de brasileiros participando na Kickante

Meta: 1 bilhão para o Brasil.

Faça parte do movimento Kickante.

+ 100 mil projetos

São milhões de brasileiros impactados!

Painel Transparente

Veja o status real de toda contribuição.