version: 260325-6103c50e
Não é vida não consigo mais comer sem sentir dor, na boca e no estômago de tanto remédio
Não é vida não consigo mais comer sem sentir dor, na boca e no estômago de tanto remédio
Desejo poder voltar a ter uma vida comer sem sentir dor
Sorocaba - SP
Vaquinha OnlineSaúde e EmergênciasVaquinha
R$ 0,00 da meta de R$ 15.800.000,00
0%

Não é vida não consigo mais comer sem sentir dor, na boca e no estômago de tanto remédio

A plataforma mais premiada do Brasil

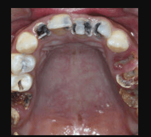
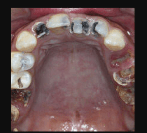
Por muito tempo tudo que eu consegui fazer foi lutar pra não faltar nada para meus filhos, muito cedo perdi meu pai, depois meu marido e por último minha filha, vivo uma luta constante com a depressão mas sempre trabalhando, tomando remédios para poder trabalhar com os dentes todos doendo e remédio para dor no estômago é uma luta, tudo que mais precisa e tirar essa dor não tenho condições preciso de ajuda 

É muito fácil participar.

Finalize em segundos!

Mais de 2 milhões de brasileiros

Pagamento seguro

Parcele em até 12X

Participe agora com total segurança
porque na Kickante cada pessoa faz uma grande diferença!

0

Fale com a Kickante

A mais completa plataforma de
Crowdfunding do Brasil

R$ 0,00
da meta de R$ 15.800.000,000%

Desejo poder voltar a ter uma vida comer sem sentir dor

Sorocaba - SP

Vaquinha Online

Saúde e Emergências

Vaquinha

Campanha lançada em 22/07/2022

Campanha Flexível

R$ 25,00
0 Kicks
R$ 50,00
0 Kicks
R$ 120,00
0 Kicks
R$ 300,00
0 Kicks

+ 2 milhões

de brasileiros participando na Kickante

Meta: 1 bilhão para o Brasil.

Faça parte do movimento Kickante.

+ 100 mil projetos

São milhões de brasileiros impactados!

Painel Transparente

Veja o status real de toda contribuição.