version: 260303-44c70fb6
Nasci Com Hipoplasia Grande Nos Dentes
Nasci Com Hipoplasia Grande Nos Dentes
Fábio Moura
Porto Alegre - RS
Vaquinha OnlineSaúde e EmergênciasCausas e Comunidade
R$ 0,00 da meta de R$ 32.900,00
0%

Nasci Com Hipoplasia Grande Nos Dentes

A plataforma mais premiada do Brasil

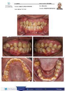
Minha mãe sempre teve problemas de convulsões dês de nova e tomava remédios muito fortes para conter estes espasmos e ficou grávida de mim e não sabia. Então continuou a tomar os remédios de convulsões e também fumava bastante e isto afetou todos os meus dentes fazendo eles nascerem com um esmalte extremamente fraco que dentro de um mês o esmalte era dissolvido ao escovar os dentes e isto fez com que eu fique apenas com a dentina da carga dentária que seria a estrutura amarelo forte do dente abaixo do esmalte, o nome desta doença é Hipoplasia. Eu sofri muito bullying no colégio por causa disto e fiquei com muitos traumas por tudo que já passei. A única coisa que pode me ajudar de acordo com o que os dentistas falam é desgastar todos os dentes e por coroas em resina para corrigir a deficiência de esmalte. Mas custa num total de. R$ 32.900,00 para fazer esta reabilitação. Minha mãe é analfabeta... E sou eu quem estudou e trabalhou para poder dar uma vida digna para ela e retribuir um pouco por todo o sacrifício que ela fez por mim. Pois meu pai não quis me assumir e nunca ajudou a me criar. Largou a minha mãe antes de eu nascer!

É muito fácil participar.

Finalize em segundos!

Mais de 2 milhões de brasileiros

Pagamento seguro

Parcele em até 12X

Participe agora com total segurança
porque na Kickante cada pessoa faz uma grande diferença!

0

Fale com a Kickante

A mais completa plataforma de
Crowdfunding do Brasil

R$ 0,00
da meta de R$ 32.900,000%

Fábio Moura

Porto Alegre - RS

Vaquinha Online

Saúde e Emergências

Causas e Comunidade

Campanha lançada em 09/07/2023

Campanha Flexível

R$ 25,00
0 Kicks
R$ 50,00
0 Kicks
R$ 120,00
0 Kicks
R$ 300,00
0 Kicks

+ 2 milhões

de brasileiros participando na Kickante

Meta: 1 bilhão para o Brasil.

Faça parte do movimento Kickante.

+ 100 mil projetos

São milhões de brasileiros impactados!

Painel Transparente

Veja o status real de toda contribuição.