version: 260303-44c70fb6
Por favor nos ajudem a recuperar o sorriso do Lorran
Por favor nos ajudem a recuperar o sorriso do Lorran
Lorran precisa do sorrisinho de volta
Congonhas - MG
Vaquinha OnlineSaúde e Emergências
0 Kick da meta de 100 Kicks
0%

Por favor nos ajudem a recuperar o sorriso do Lorran

A plataforma mais premiada do Brasil

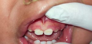
Olá,meu nome é Lorran,tenho apenas 1 ano e 11 meses,e por problemas que minha mamãe teve na minha gestação ao nascer eu desenvolvi má formação nos dentinhos,meus dentinhos nasceram muito fracos e começaram a quebrar de forma muito rápida,e por essa razão após muito procurarmos por uma solução descobrimos o real problema e descobrimos também que meus 4 dentinhos da frente haviam chegado na fase de canal,e por essa razão preciso muito fazer o tratamento,pois perder os dentinhos irá continuar atrapalhando quando vou comer,irá atrapalhar na minha fala e também no nascimento dos meus próximos dentinhos,pois eles podem perder espaço na minha boca.
Incluindo os procedimentos de canal terei que reconstruir completamente 3 dentinhos,fazer remineralizacão,fluoterapia,e restaurar mais 2 dentes.Peço por favor que me ajudem,pois sofro por não poder sorrir com todos os meus dentinhos

É muito fácil participar.

Finalize em segundos!

Mais de 2 milhões de brasileiros

Pagamento seguro

Parcele em até 12X

0

Fale com a Kickante

A mais completa plataforma de
Crowdfunding do Brasil

0 Kick
da meta de 100 kicks0%

Encerrado!

Lorran precisa do sorrisinho de volta

Congonhas - MG

Vaquinha Online

Saúde e Emergências

Campanha encerrada em 22/02/2023

Campanha Flexível

+ 2 milhões

de brasileiros participando na Kickante

Meta: 1 bilhão para o Brasil.

Faça parte do movimento Kickante.

+ 100 mil projetos

São milhões de brasileiros impactados!

Painel Transparente

Veja o status real de toda contribuição.