version: 260325-6103c50e
Preciso de implantes dentários urgente
Preciso de implantes dentários urgente
Implantes dentário urgente
Hortolândia - SP
Vaquinha OnlineSaúde e Emergências
1 Kick da meta de 40000 Kicks
0%

Preciso de implantes dentários urgente

A plataforma mais premiada do Brasil

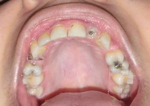
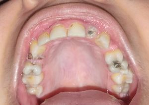
Sou uma mulher de 30 Anos, e sempre tive os dentes muito sensíveis e fracos, que se despedacavam com facilidade, hoje me encontro com falta de vários dentes, não posso sorrir e pra comer é muito dificil, meu esposo também necessita de implante dentário, devido a uma queda, ele perdeu o dente na frente, e estamos os dois com retração gengival, meu sonho e fazer implante dentário e poder voltar a sorrir.

É muito fácil participar.

Finalize em segundos!

Mais de 2 milhões de brasileiros

Pagamento seguro

Parcele em até 12X

Participe agora com total segurança
porque na Kickante cada pessoa faz uma grande diferença!

0

Fale com a Kickante

A mais completa plataforma de
Crowdfunding do Brasil

1 Kick
da meta de 40000 kicks0%

Implantes dentário urgente

Hortolândia - SP

Vaquinha Online

Saúde e Emergências

Campanha lançada em 14/12/2022

Campanha Flexível

Destaque

Anônimo

1º Kick

R$ 5,00

R$ 25,00
0 Kicks
R$ 50,00
0 Kicks
R$ 120,00
0 Kicks
R$ 300,00
0 Kicks

+ 2 milhões

de brasileiros participando na Kickante

Meta: 1 bilhão para o Brasil.

Faça parte do movimento Kickante.

+ 100 mil projetos

São milhões de brasileiros impactados!

Painel Transparente

Veja o status real de toda contribuição.