version: 260325-6103c50e
Preciso fazer uma cirurgia pra retirar um cisto no dente siso e implantar os que faltam
Preciso fazer uma cirurgia pra retirar um cisto no dente siso e implantar os que faltam
Roberta Molina Ribeiro Faraude
Currais Novos - RN
Vaquinha OnlineSaúde e EmergênciasVaquinha
0 Kick da meta de 8000 Kicks
0%

Preciso fazer uma cirurgia pra retirar um cisto no dente siso e implantar os que faltam

A plataforma mais premiada do Brasil

Essa campanha que criei hoje dia 29 de maio de 2022 é importante por ser uma questão de saúde e de auto-estima. Preciso fazer una cirurgia pra retirar o dente siso e retirar um cisto, além de por os dentes que estão faltando. Se não conseguir ajuda, tbm não poderei fazer, pois estou desempregada. Não tenho a mínima condição de arcar com tais despesas.

É muito fácil participar.

Finalize em segundos!

Mais de 2 milhões de brasileiros

Pagamento seguro

Parcele em até 12X

Currais Novos RN Brasil, 29 de maio de 2022

Me chamo Roberta Molina Ribeiro. Eu tenho 50 anos. Moro a 2 anos em uma cidade do interior do estado do Rio Grande do Norte, nordeste do Brasil.

 Moro com meu filho Rafael. Ele tem 25 anos, estuda Geografia na Universidade Federal do Rio Grande do Norte. E trabalha em uma empresa terceirizada, recebendo um salario mínimo. E é desse salario que sobrevivemos.

Eu estou desempregada, desde a pandemia. E devido a isso passamos por dificuldades financeira, pois a única fonte de renda é o salario que meu filho ganha, para pagar contas de agua, luz, internet, e comprar comida. Ano passado estavos os dois desempregados, a ponta da energia de casa ser cortada por falta de pagamento. Isso aconteceu logo apos passar por uma cirurgia, pois tive uma trombose vascular profunda na perna direita. Graças a Deus encontrei um projeto que coloca pessoas com dividas de consumo em contato com pessoas que podem ajuda, e uma dessas pessoas pagou a conta de energia.

Agora estou aqui pedindo ajuda pois preciso fazer uma cirurgia pra retirar um cisto no dente siso, preciso implatar os dentes que faltam, e fazer todo mês a manutenção do meu aparelho ortodôntico.

Estes são os motivos que me levaram a fazer esse pedido de ajuda. Preciso de oito mil reais. Pra fazer o que citei acima.

Se alguém se compadecer e poder me ajudar, eu agradeço de todo coração. As doaçoes pode ser feita pelo 

paypal :rmrfaraude@bol.com.br 

Contato 84996717527
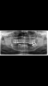
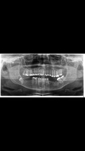
Com o valor arrecadado, vou fazee a cirurgia pra retirar o cisto e o dente siso, vou implatar os dentes que falta que são da arcada inferior, como mostra a radiografia panoramica, tbm vou fazer a manutenção do aparelho ortodontico, pois desde a pandemia que não faço a manutenção.
Se alguem quiser entrae em contato meu whats 84996717527
Email robertamribeiro@gmail.com
0

Fale com a Kickante

A mais completa plataforma de
Crowdfunding do Brasil

0 Kick
da meta de 8000 kicks0%

Encerrado!

Roberta Molina Ribeiro Faraude

Currais Novos - RN

Vaquinha Online

Saúde e Emergências

Vaquinha

Campanha encerrada em 28/07/2022

Campanha Flexível

+ 2 milhões

de brasileiros participando na Kickante

Meta: 1 bilhão para o Brasil.

Faça parte do movimento Kickante.

+ 100 mil projetos

São milhões de brasileiros impactados!

Painel Transparente

Veja o status real de toda contribuição.