version: 260303-44c70fb6
Preciso muito de ajuda para voltar a viver
Preciso muito de ajuda para voltar a viver
Me ajuda a voltar a sorrir a comer a viver
Sorocaba - SP
Vaquinha OnlineSaúde e Emergências
R$ 0,00
Campanha sem meta financeira.

Preciso muito de ajuda para voltar a viver

A plataforma mais premiada do Brasil

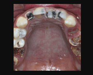
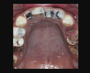
Eu tive depressão depois que perdi meu pai meu marido e minha filha, sempre lutei pra não deixar faltar nada para meus filhos, sempre tive muito doente tomando remédio forte pra poder trabalhar,fui perdendo os dentes sem poder parar pra cuidar de mim não tenho dinheiro pra cuidar de mim não tenho mais prazer de comer uma comida simples sorrir não sei mais como é 

É muito fácil participar.

Finalize em segundos!

Mais de 2 milhões de brasileiros

Pagamento seguro

Parcele em até 12X

Tudo que eu queria era poder comer e poder sorrir, eu já tive tantas dores tantas percas mas eu queria hj poder sorrir para meus netos sem ter que coloca a mão na frente da boca de vergonha deles 
Eu vou cuidar da minha boca fazer canal arrancar uns dentes quebrando e colocar prótese 
0

Fale com a Kickante

A mais completa plataforma de
Crowdfunding do Brasil

R$ 0,00
Campanha sem meta financeira. Todo valor ajuda!

Encerrado!

Me ajuda a voltar a sorrir a comer a viver

Sorocaba - SP

Vaquinha Online

Saúde e Emergências

Campanha encerrada em 18/09/2022

Campanha Flexível

+ 2 milhões

de brasileiros participando na Kickante

Meta: 1 bilhão para o Brasil.

Faça parte do movimento Kickante.

+ 100 mil projetos

São milhões de brasileiros impactados!

Painel Transparente

Veja o status real de toda contribuição.