version: 260325-6103c50e
Vamos ajudar a ARLENE a fazer o tratamento dos dentes
Vamos ajudar a ARLENE a fazer o tratamento dos dentes
ARLENE
Belo Horizonte - MG
Vaquinha OnlineSaúde e EmergênciasVaquinha
R$ 0,00
Campanha sem meta financeira.

Vamos ajudar a ARLENE a fazer o tratamento dos dentes

A plataforma mais premiada do Brasil

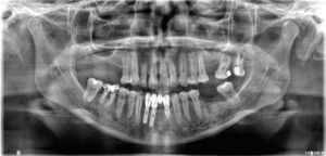
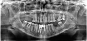
E importante porque tenho vergonha de sair e de sorrir por causa das perdas dos dentes e por causa da perda óssea da gengiva.

É muito fácil participar.

Finalize em segundos!

Mais de 2 milhões de brasileiros

Pagamento seguro

Parcele em até 12X

Estou precisando fazer um tratamento de dentes,o mais indicado e o implantes,pois sou diagnosticada com diabetes tipo 1 desde os 11 anos,e no momento não tenho condições de arcar com esse custo.
Agradeço muito quem puder me ajudar.
Devido a essa situação nos últimos tempos estou enfrentando depressão,ansiedades e muito desânimo de continuar lutando pela vida,pois minha Autoestima se encontra muita baixa.
Obrigado a todos!!
Farei o implantes dos dentes que perdi, por causa da gengivite e do descontrole da diabetes no início do diagnóstico.
Tenho 42 anos, diagnosticada com diabetes na década de 1990,desde esse diagnóstico batalho muito para controlar glicose, emocional, psicológico, Espiritual, relacionamento ,mas não e fácil dificilmente consegui o manter o equilíbrio entre todos.
Principalmente neste momento que me encontro desempregada 😞 Não por falta de buscar recolocação no mercado de trabalho,somente ano passado enviei mais de 130 currículos,mas muitas empresas até gostam de meus currículo,mas me negao uma oportunidade de trabalho.
0

Fale com a Kickante

A mais completa plataforma de
Crowdfunding do Brasil

R$ 0,00
Campanha sem meta financeira. Todo valor ajuda!

Encerrado!

ARLENE

Belo Horizonte - MG

Vaquinha Online

Saúde e Emergências

Vaquinha

Campanha encerrada em 04/05/2022

Campanha Flexível

+ 2 milhões

de brasileiros participando na Kickante

Meta: 1 bilhão para o Brasil.

Faça parte do movimento Kickante.

+ 100 mil projetos

São milhões de brasileiros impactados!

Painel Transparente

Veja o status real de toda contribuição.